Rundherum perfekt im Bild
Die perfekte Verbindung von Bildqualität, Effizienz und Design
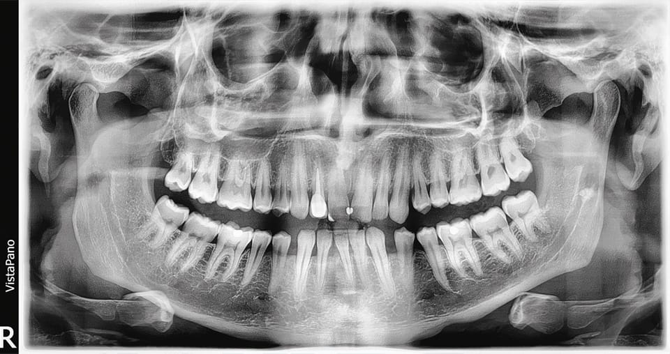
Mit dem VistaPano S setzt DÜRR DENTAL einen neuen Standard in der Bildschärfe extraoraler Aufnahmen. Zudem überzeugt das 2D-Panoramaröntgengerät durch seine einfache Bedienung und einen konsequent durchdachten Workflow, der durch ein innovatives 7″ Touch-Display unterstützt wird. Seine herausragende Abbildungsleistung verdankt das VistaPano S zwei innovativen Technologien. Zum einen der modernen CsI-Sensortechnologie, die eine verbesserte Bildqualität und damit eine wesentlich bessere Diagnostik ermöglicht. Zum anderen der S-Pan-Technologie; sie nutzt die Bildinformation der individuellen Patientenaufnahme, um an jeder räumlichen Position der Zahn- und Kiefersituation automatisch eine gestochen scharfe Panoramadarstellung zu präsentieren.


Alle Funktionen auf einen Blick
Das intuitive 7″ Touch-Display visualisiert sämtliche Einstellungen ebenso schnell wie deutlich. Bedienung und Navigation sind ausgesprochen benutzerfreundlich und sorgen für einen reibungslosen Ablauf während des Röntgenvorgangs. Sie wählen zu Beginn lediglich das Aufnahmeprogramm und die Patientengröße aus – dadurch lassen sich Bedienfehler vermeiden und ein optimaler Workflow ist gewährleistet.
Passt in jede Praxis
Das schlanke, filigrane Design des neuen VistaPano S eröffnet vielfältige Möglichkeiten der Platzierung in Ihren Praxisräumen. Dank seines Designs ist es überall ein formschöner Blickfang und nimmt mit Maßen von 1,0 x 2,3 x 1,5 m (B x H x T) nur wenig Platz ein.

Weitere Funktionen
Panorama-Röntgenprogramme
Mit insgesamt 17 Röntgenprogrammen sind Sie für jede Diagnostik bestens gerüstet. Neben dem Standard-Panoramaprogramm bietet das VistaPano S:
und Reduzierung der Dosis um 45 – 56 %
– ohne Verlust diagnostischer Informationen

S-Pan-Technologie: Sichere Diagnosen durch extrem scharfe Bilder

Bei der S-Pan-Technologie werden aus einer Vielzahl paralleler Schichten automatisch diejenigen Bildbereiche selektiert, die der tatsächlichen Anatomie am besten entsprechen. Das Ergebnis ist ein Bild von bestechender Klarheit, in dem Sie die anatomisch interessanten Strukturen sofort mühelos finden. Da sich die Rekonstruktion an der tatsächlichen Lage des Gebisses ausrichtet, werden Fehlpositionierungen in gewissen Grenzen „ausgeglichen“. Das erspart der Praxis Zeit und dem Patienten Wiederholungsaufnahmen.
VistaPano S Ceph: Geringe Strahlenbelastung – hohe Effizienz
Mit dem neuen VistaPano S Ceph gelingen schnelle Fernröntgenaufnahmen in hervorragender Bildqualität – und dies bei geringstmöglicher Strahlenbelastung. Grund dafür ist die für Zeilensensoren extrem kurze Scanzeit von nur 4,1 Sekunden, die das Risiko von Bewegungsunschärfen deutlich reduziert. Da bereits zwei High-End-CsI-Sensoren – für Panoramaröntgen und Ceph-Funktion – in das Gerät integriert sind, entfällt das zeitraubende Umstecken des Sensors und damit das Risiko von Beschädigungen. All das macht das VistaPanoS Ceph zur idealen Röntgenlösung für die Kieferorthopadie und die Mund-Kiefer-Gesichtschirurgie.

Broschüren & Informationen
Hier erhalten Sie alle wichtigen Unterlagen zum Download

Fragen oder Interesse zum Dürr VistaPano?
Zögern Sie nicht, wir sind für Sie da! Füllen Sie einfach das Formular aus und wir melden uns bei Ihnen.
Sie benötigen individuelle Beratung, haben Fragen zu den Produkten oder ein Problem? Dann melden Sie sich einfach bei uns.
Julian Winter
Vertrieb
Spezialist für Morita-Röntgengeräte, denvis, denvisQS und vieles mehr.
Telefon: 07571 / 733-754
Astrid Aßfalg
Vertrieb
Spezialist für Morita-Röntgengeräte, denvis, denvisQS und vieles mehr.
Telefon: 07571 / 733-751
Hotline
Technik
Alle Fragen rund um technische Anliegen, Probleme & Lösungen.
Telefon: 07571 / 733-740


